买球app排行榜除了无数为家眷遗传病例-买球的app排行榜前十名推荐-十大正规买球的app排行榜推荐
发布日期:2025-03-26 08:51 点击次数:182

浙大二院近期接诊了别称患者小叶买球app排行榜,她从小身上就有一些棕色斑块,看似是无害的“胎记”,可逐渐地听力运行下落:最运行仅仅听不清微小的声息,随后右耳更严重,连分辩东说念主声齐艰苦。
其时小叶行将干预高考
听力下落让她终点纳闷
查验后发现
这并不是通俗的耳朵问题
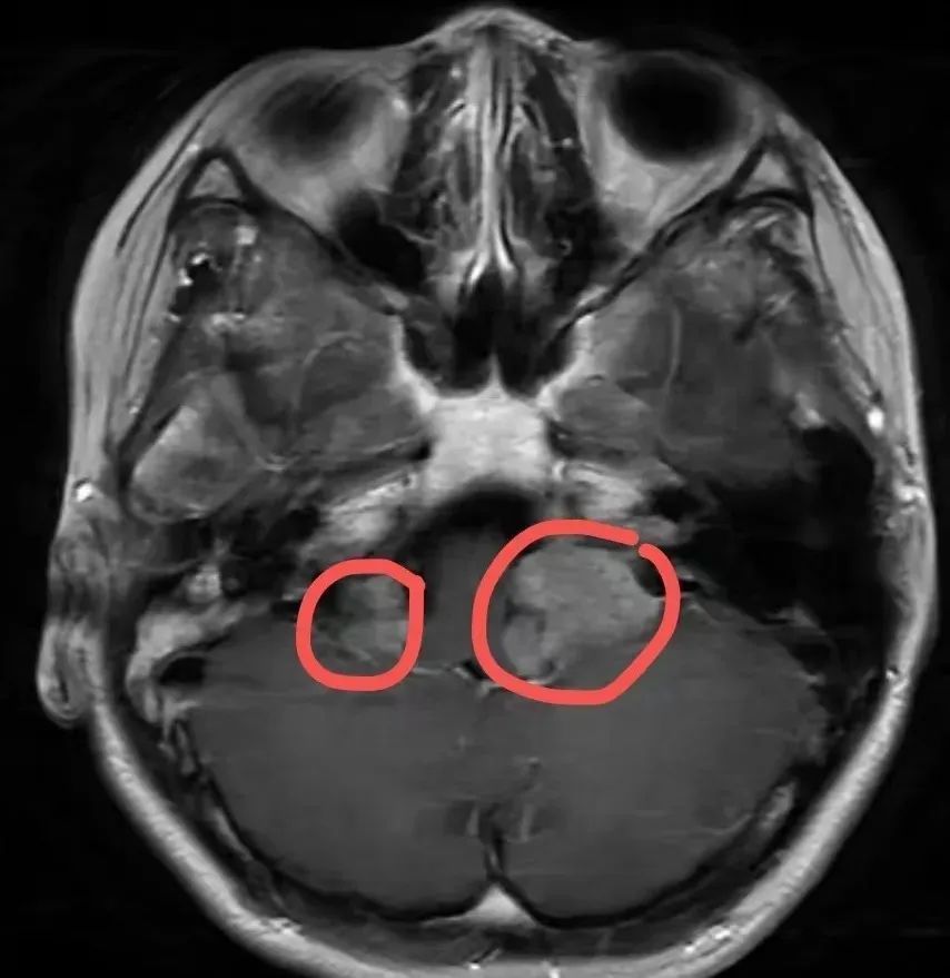
小叶双侧颅内的前庭神经
正被一种肿瘤“侵袭”
这即是她听力下落的元凶
小叶患上了一种荒废的遗传疾病
——神经纤维瘤病

什么是神经纤维瘤病?
神经纤维瘤病(Neurofibromatosis,简称NF),神经纤维瘤病主要有三种类型:
1型神经纤维瘤病(NF1型)
2型神经纤维瘤病(NF2型)
施万细胞瘤病

牛奶咖啡斑的形成主要与NF1基因突变联系,跨越90%的NF1型患者会在生命早期(相似为配置后或婴幼儿期)出现牛奶咖啡斑。
每种类型与不同基因的变异联系,若是父母一方患有神经纤维瘤病,遗传给子女的概率为50%。除了无数为家眷遗传病例,东说念主群中可见少数为舒服病例。
关系众人先容,从发病率角度来看,神经纤维瘤病为东说念主类荒废类疾病,当今尚无根治时期。
神经纤维瘤大多为良性肿瘤,固然恶变几率不算高,但会酿成面部大块色斑,不仅影响姿色,影响神经功能,还可能酿周至身各组织脏器多发肿瘤、脊柱无理导致瘫痪等一系列并发症。
而若是发现短期内瘤体飞快增大,凄凉加重,则需要接洽恶变的可能。
可通过手术或药物
改善神经纤维瘤
医师讲解
尽管神经纤维瘤病
当今尚无法根治
但大无数患者
可通过手术或药物调治
显赫改善生计质料
关于引起症状的神经纤维瘤,手术好像有用安稳压迫症状,改善功能;关于早期发现的听神经瘤,实时羁系有可能保留部分听力功能,同期减少对面神经的压迫,裁汰面瘫发生的风险。
历程抽象评估,医师合计,小叶右侧的听神经瘤当今较为踏实,可秉承按期随访不雅察。而左侧听神经瘤体积较大,对周围组织产生彰着压迫,导致小叶可能出现颅内高压等症状,将严重影响生计质料。
最终,医师为小叶引申了微创左侧听神经瘤切除术,收效切除肿瘤。术后复原告成,小叶告成完成了高考。
神经纤维瘤固然
是一种遗传性疾病
但它并非无法搪塞
关于3岁以上特定类型的丛状I型神经纤维瘤病儿童,新式靶向药物司好意思替尼通过扼制突变基因作用,可显赫扼制神经纤维瘤细胞的滋长与扩散。
起首:新闻坊、浙大二院、上海六院、温州医科大学附属第一病院等买球app排行榜